It’s not very common for someone to make history before they enter high school, but Tony Rosales has. He’s the first child in our area to have a leadless pacemaker implanted and he is thriving, giving his parents peace of mind.
What is a leadless pacemaker?
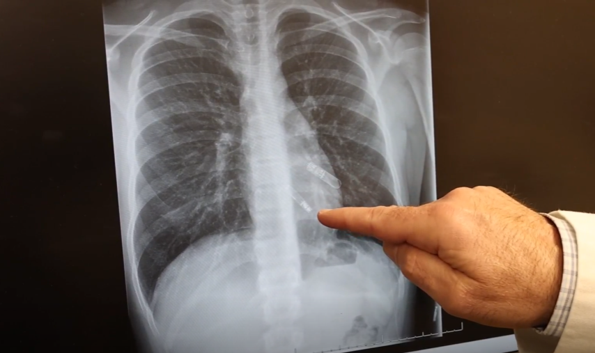
A leadless pacemaker is a device that, like a traditional pacemaker, regulates the heartbeat for patients with heart rhythm disorders. But instead of needing surgical incisions and leads implanted that connect to a power source, the leadless pacemaker is self-contained.
Up until now, it has only been used in adults. The leadless pacemaker is inserted in an IV in the groin and guided into the heart muscle using a catheter. Dr. John Phillips, pediatric cardiologist and CHoR’s director of pediatric electrophysiology, performed the groundbreaking procedure.
The heart of Tony’s health concerns
Tony’s family first became concerned about his heart health when he fainted at dinner back in 2023. They rushed him to another medical center, and it was determined one chamber of Tony’s heart wasn’t beating properly. There doctors recommended implanting a traditional pacemaker immediately, but Tony’s family wasn’t sure that was the best option for their very active, soccer-playing pre-teen.
During a follow-up appointment, their pediatrician referred them to Dr. Phillips at our Fredericksburg Multispecialty Center. Dr. Phillips was also hesitant to put a traditional pacemaker in someone so young unless absolutely necessary. Instead, he decided the first step was seeing how severe Tony’s arrhythmia was. He started monitoring Tony’s heartbeat using a loop recorder, which is an implanted device that measures heart rhythm over an extended period.
“He may need pacemakers for the rest of his life,” said Dr. Phillips. “So, to put leads in someone his age, you would eventually obstruct the vein that’s used. In 30 or 40 years, when the device would inevitably be replaced, his cardiologist would have nowhere to put new leads.”
After a year of monitoring using an implanted loop recorder, they discovered Tony typically only experienced a pause in his heartbeat while he was sleeping. The loop recorder would send Dr. Phillips an alert every time it happened, which was almost nightly. He determined the 12-year-old was a perfect candidate for the leadless pacemaker.
“It takes a very specific person,” explained Dr. Phillips. “He just happened to fit it perfectly because he really only needs it at night at this point.”
The benefits of a leadless pacemaker
When traditional pacemakers are implanted, the leads are typically the most problematic part of the device. They can become dislodged, impacting the pacing of the heart. But that’s not all.
“The biggest issue with leads in a pacemaker is when you have a malfunctioning device, it’s almost always in the leads,” Dr. Phillips said. “You can’t really break a leadless pacemaker. If you go out and play football, ride your bike or fall, a traditional pacemaker can break because of those leads.”
There is also a reduced risk of infection because there is no need for the surgical pocket under the skin for the power source. And the procedure to implant the device is much less invasive.
“The way we implant this pacemaker is through a heart catheterization in our cath lab,” explained Dr. Phillips. “We put a big IV into the vein of his leg and through that IV we’re able to take the device, extend it up into his heart and position the pacemaker where it needs to be. There are no stitches, no cutting and no scars and the recovery period is so much faster. There’s also less pain which is an important part of it.”
The procedure took about an hour from start to finish. Tony was able to go home the next day and was back to his normal activities the following week. And when the device needs to be replaced in the next 10 to 20 years, depending on the lifespan of the battery, that procedure is equally non-invasive.
Tony’s parents said that while they were initially hesitant about the innovative procedure, Dr. Phillips put their minds at ease.
“We were nervous at first,” remembered Tony’s dad Salvador Rosales. “But after Dr. Phillips explained it, we knew he was doing what was best for our son.”